Non-Surgical Procedures: Before & After Photos
Surgeries performed by Dr. Vasdev Rai and Dr. Surjit Rai in Dallas, TX
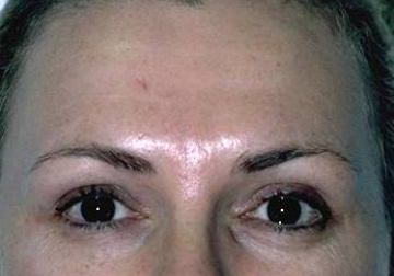
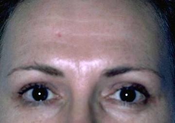
Patient 1
Individual results may vary.
Click here to contact Dr. Rai and set up a consultation.
Patient 2
Individual results may vary.
Click here to contact Dr. Rai and set up a consultation.
Patient 3
This is using 1 syringe of Restylane Silk to create fuller, youthful lips without being overdone or unnatural. Notice the better definition of the philtrum columns as well (the lines under the nostrils). These flatten over time and by filling them you help recreate the natural, youthful look of the lower face. – Dr. Surjit Rai
(Dr. Surjit S. Rai’s Patient)
Individual results may vary.
Click here to contact Dr. Rai and set up a consultation.
Patient 4
Individual results may vary.
Click here to contact Dr. Rai and set up a consultation.
Patient 5
Individual results may vary.
Click here to contact Dr. Rai and set up a consultation.
Patient 6
Individual results may vary.
Click here to contact Dr. Rai and set up a consultation.
Patient 7
Individual results may vary.
Click here to contact Dr. Rai and set up a consultation.
Patient 8
Individual results may vary.
Click here to contact Dr. Rai and set up a consultation.
Patient 9
Individual results may vary.
Click here to contact Dr. Rai and set up a consultation.
Patient 10
Individual results may vary.
Click here to contact Dr. Rai and set up a consultation.



















